So there were several questions about dentistry. First I guess I should explain what I do. I went to dental school and graduated in 2004. From the time I started dental school, I knew that I wanted to be a specialist, but even up until the summer before my third year, I didn't know which one. Well, actually I did know which ones I didn't want to do--periodontics, oral surgery, pediatric dentistry, dental radiology, oral pathology, prosthodontics, or dental public health. So that left orthodontics and endodontics. So when the time came to apply for residency, I still didn't know which one. So I chose neither--I applied for and got into a General Practice Residency at UCLA. GPRs are usually hospital-based programs with an emphasis on providing care to medically compromised patients. The dentistry is pretty much the same, you just do it on people who can't be treated in a conventional dental practice. That pretty much bought me some time during my fourth year to decide between endo and ortho. Obviously I chose endodontics. So that's where I am know--finishing my second year of a three year program.
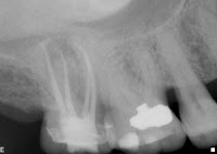
So what exactly is a root canal, you ask? Basically, the inside of your tooth is hollow--from the crown all the way to the ends of the roots. This space inside the tooth is where the nerves and blood supply (pulp) are housed. When the pulp is insulted (usually by decay or trauma) the pulp becomes infected and ultimately dies. Since there is no longer any blood supply inside of the tooth, it becomes a sort of hiding place for bacteria that your immune system cannot reach. This can cause abscess formation, and a chronic inflammatory reaction around the roots where the canals exit and can cause bone destruction, root resorption, etc. So when you do a root canal, you make a hole in the tooth so that you can reach the pulp chamber, you clean and enlarge the canals in the roots, and seal up the roots to keep the bacteria out. Then your immune system can take care of the inflammation/infection that is around the roots. Then you need a filling and usually a crown to fill up the hole and strengthen the tooth against fracture. So in a nutshell, that's what I do every day. Here are some examples of my work:
So on to your dental questions: Elizabeth wrote: "So I have a couple of friends that swear all you have to do to keep your teeth clean is use mouthwash." Obviously this is not true. Here's the deal--have you ever heard of a biofilm? It's when a collection of microbes organize themselves into a film that makes them resistant to degradation by your immune system, other bacteria, chemicals, etc. Well, you guessed it, plaque on your teeth is a biofilm. The only way to really remove it is to mechanically disrupt it. Mouthrinses can be beneficial as adjunctive treatments, but they won't completely eliminate the biofilm. A couple of years ago, Listerine had a campaign saying that they had studies showing that rinsing with Listerine was a good as flossing. Well, come to find out, the publications weren't peer reviewed, were solely funded and conducted by Listerine, and pretty much didn't hold water, so under pressure, they yanked the ads.
Ginger wrote: "I want to know what grosses him out when he works on people's mouths." Believe it or not, I can't really remember the last time I got grossed out. I do remember the first time someone's mouth made me gag, though. I was doing dental exams at this Missions of Mercy thing and I had to do an exam/cleaning on this guy that had massive amounts of decay in his teeth. Even better was that he had tons and tons of food/plaque/crap stuck in all of these big holes in his teeth and I had to pick it all out. It was gross. That was before I was even in clinic in dental school so I hadn't really experienced that yet. It was also the first time I ever dry heaved behind the mask. Now I'm pretty much over it and it doesn't make me sick.
More than getting grossed out by patients, I get annoyed by them. Like today, I had three annoying patients. The first lady acted like she was dying during the whole procedure. She kept making these coughing noises and making these faces the whole time--which was about an hour. And it wasn't because it was hurting, she repeatedly told me she couldn't feel it. I think this was a topic on a previous blog post of Leslie's but here's my take. I know it isn't fun going to the dentist--especially when you have to have a root canal. But come on, you're an adult--you are capable of just sucking it up and getting through it without making it more difficult for yourself or the person working on you. Then my second patient was this 18 year old girl who apparently fell down the stairs and hit her front tooth. I'm guessing she was probably drunk when it happened. The best part about her was that her teeth looked like she hadn't brushed in at least a week. Note: even if you don't normally brush your teeth, how about you try it the day you have to see the dentist? I really wonder about young, normal-looking people who don't brush their teeth. Maybe they think no one notices. Again, not so much gross to me anymore, but annoying. Then there was my last patient who apparently thinks that if you wear enough cologne, you don't have to use deodorant. Small room, poor ventilation, Drakkar Noir, decayed teeth and BO--not the best combination.
Chel wrote: "I've really always wondered why someone would WANT to be a dentist, when if they are going through all the schooling to be a doctor... they could be any sort of doctor." This a good one. I considered both medicine and dentistry and one of the major factors that steered me toward dentistry was the difference in the lifestyle of a dentist vs. a physician. Length of training and pay are similar in the two fields, but the lifestyle of the dentist seemed to fit more what I envisioned my professional life to be like. By lifestyle I mean average hours worked per week, vacation time, call schedule, stress level, etc. I think I made the right choice.
OK, I still haven't mastered the short post thing. I have more that I can say on this subject, but I guess I'll wrap this up. Feel free to ask any dental questions you might have that I didn't address.


16 comments:
you're so smart baby. i love it when you talk teeth.
but i can't believe you said "crap" on my blog.
First off, excellent explinations, Dr. H* - I feel like y'all (dentists) should give people the low-down when they go in - I'm always pouring over the dental procedure illustrations in the offices I visit, trying to understand what's going on for the three hours I'm in that darn chair - no one ever explained it to me!
Secondly, I am personally VERY offended that you didn't ask to use some of my xrays - no, Dr. H* didn't do the work, but you could have cited it as "crappy" work, since I seem to be cursed with bad dentists/dental karma - I bet I have more dental work in my mouth than anyone else who reads this blog - HA!
And third, I will try my hardest not to cringe while in the chair next - I swear, that pain killer is gonna wear off any minute and that drill will send me through the roof. I am a big proponent of giving nervous patients (like myself) soothing drugs in the form of gas, in addition to the numbing shots - I feel as though the whole procedure would go a lot smoother for everyone if I could just drift off into la-la land.
So I thought I should leave my experience with a bad dentist. While in college I got a filling and they didn't numb me. I sat there with tears running down my face literally praying that God would make him stop soon. He was also just really rude to me. Ugh. If only you had been a dentist then. Plus, I love the comment about brushing your teeth the day you see the dentist. I totally do, and floss extra. I also fix my hair before I get it cut.
Sorry so long...
I never thought about the whole lifestyle thing. I guess that is why you are the Dr. and I am not. :) That makes perfect sense. I'd imagine dentists have much better hours and basically can work for themselves. I wish you were my dentist! I too, have never been told what is going on inside my mouth... very interesting.
I do have a question though... I'm pregnant, 8 months to be exact. What exactly is safe and not? I hear so many conflicting stories about how pregnant women should NOT go to the dentist. Also, my mouth seems sore when I am pregnant and my gums bleed...
Did you hear that a cleaning can prevent pre-term labor? My dentist friend said sometimes it is bacteria that can cause pre-term labor and a cleaning can help.
Also from my friend... a guy walked in with REALLY bad teeth and Adam asked him why he hadn't been to a dentist... turns out he had been in the pen the last 20 years!
Tyler always said the worst patients were the ones that you could smell their breath when they walked in the office. EWWWW!
I was told 10 years ago that I should not floss (due to that groove in my gums I made flossing). My dentist says you can't even tell I don't floss when you look at my teeth. Bad idea? (I haven't mastered the short comment thing!)
Chel--the time to have elective dental work done is during the second trimester. You should probably just wait until after the baby is born to have an exam/cleaning. Because of changes in hormone levels during pregnancy, it is not uncommon for your gums to be more inflammed and bleed more. It should go back to normal after the baby is born. There are some studies that have shown a link between gingivitis/gum disease and low birth-weight babies. The problem with the study, though, was that the women studied had other risk factors for pregnancy complications that may or may not have been more important than their periodontal status. I'm don't know of any good studies that show a definitive link between pregnancy complications like pre-term labor or low birth-weight.
Charlotte--you shouldn't stop flossing all together, you just need to not do it so aggressively! Thankfully I'm not a periodontist and I don't have to constantly remind people about oral hygiene. I usually feel like a hypocrite because I'm not a religious flosser either.
Neal, you are the man!!! Well done on the explanations. Are you really that smart? More importantly, I am impressed with your diligence in standing in for Les on her blog - true love and devotion, although we never doubted. Thanks for being who you are!
Does it REALLY make a different what kind of toothbrush I use?
Neal I am so impressed with your explanations and patience to answer all of the questions in such a way that it is easy to understand. We love you so much and are so glad that Leslie found you. Not only that but look at the beautiful and smart children that the two of you make!
Hugs
Grammy
When we check in with the receptionist at our dentist's office, she asks, "Have you brushed your teeth in the last 2 hours?" If not, they hand you a toothbrush and toothpaste and send you into the restroom. I think it is a gReAt idea!
Dear Dr. Neal (that's what you'll have to go by when you host your own daytime talk show in the future),
Do you know what that little ball is that sometimes creeps from the back of your throat and rolls down your tongue is? All I know is that my brother dared me to smell one one time, and that is all I could taste for the next 6 months. Those things pack a powerful punch!
Thanks.
Neal... Hannah (who is 4 1/2) has a cavity in the front and center of her mouth! I took her to the dentist b/c I noticed it. It's on her L tooth (#9?) right next to her other front tooth (#8?) and the decay goes all the way up to her gum line. I'm pretty embarrassed that she's got one in the front and center of her face, but what it is what it is! They want to put a crown on it. My question is... why? Isn't that costly when that will be the 3rd of 4th tooth to fall out of her mouth anyhow? They said something about not being able to fill it with the white filling b/c it has to be filled to the gum line, but I'm totally clueless. I was happy to learn that the other two in the back of her mouth between her molars were very very small, almost invisible on the X-ray. (they gave me the magnifying glass to look at them... no kidding!) I'm really surprised she didn't have huge ones back there, considering that she has one in the front and center of her smile.
(Also... the tooth next to it #8, is 'dead' could that make it more likely to get the cavity right there, touching it?)
Sorry this is so long... Thanks for opening the ? forum!
Awesome Dr. H... seriously you should start a blog.
Thanks for the 411 on the dental stuff. I think I am safe about not making any dentist gag... But I bet I have more dental work than Natalie*!
Elizabeth: It is generally recommended that you use a soft tooth brush so that you don't damage your gums. Also, don't brush with a scrubbing motion back and forth because that can also damage your gums. The brand of tooth brush does not make a difference.
Abbie: Those little white things actually come from the crypts in your tonsils. They are a collection of food, bacteria, sloughed off cells, etc. They can sometimes get stuck in there and calcify forming what are called tonsiloliths. Yes, they smell VERY bad.
Tara: The reason they can't put a tooth colored filling (composite resin) in a tooth with decay to the gumline because it won't adhere to the tooth structure if there is any saliva contamination. If the decay is to the gumline, it is impossible to keep saliva out of the cavity prep. The crowns that are put on baby teeth aren't the same as the ones used in permanent teeth. They are stainless steel, prefabricated crowns that are cemented over the tooth after the decay is removed and the tooth is prepared for the crown. They are also very cheap, not like permanent crowns for permanent teeth. The "dead" tooth next to it is no more prone to decay than a "live" tooth. You should check it often though, to make sure she doesn't get a little bump on her gum above that tooth. If she does, go to the dentist ASAP because the tooth may have an abscess or granuloma that can damage a discolor the permanent tooth bud. This made me think of something else--all of you who have kids under the age of about 8 should be brushing your kids teeth for them. After they are about 5, let them brush their teeth themselves, then YOU brush their teeth to make sure they are clean. You should also floss your childs teeth. A child is really not capable of truly cleaning their teeth. This is my personal opinion, of course.
Ginger--blogging is too much work. I don't think I could handle it for more than a week!
Thanks Neal. So is she going to have a big silver chunk on the front of her teeth, or is the front tooth colored and the back stainless? That was my understanding, but maybe I didn't hear them right. I think I will cry if that is the case!
We will definitely be brushing her teeth for her from now on (we do anyway, but sometimes a night is missed, I regret to say.)
Yes, they do make stainless steel crowns that are tooth colored on the front. She won't have a grill!
Post a Comment